Una storia vera che ha come protagonista un 26 enne di nome Zhang. I medici dell’ospedale Urumqi nello Xinjang, in Cina, hanno effettuato delle analisi e hanno scoperto che il ragazzo aveva ingerito qualcosa di assurdo.
L’operazione d’urgenza
Il ragazzo, dopo una serata di divertimento con gli amici, ha avvertito forti dolori al petto e difficoltà respiratorie che lo hanno portato ad una corsa in ospedale. Dopo una scommessa persa dal 26enne il ragazzo aveva ingoiato volontariamente un cucchiaio da cucina. Il cucchiaio lungo 20 centimetri era da più di un anno dentro il 26 enne.
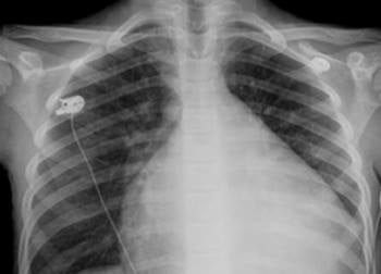
Quando i medici gli hanno fatto la radiografia al tocace hanno impiegato poco tempo per comprendere la causa del malore. Quello che ha lasciato sconvolti i dottori, però, non è stata la scoperta in sé, quanto il fatto che l’oggetto fosse lì da un anno. I medici sono abituati ad avere casi di questo genere ma non si capacitavano del fatto che il ragazzo non si fosse mai rivolto ad un medico prima di quel giorno. Zhang in una serata ad alto tasso alcolico, aveva l’intenzione di stupire i suoi amici con questa bravata. Dopo aver legato il cucchiaio con una sottile cordicella, per poterlo poi tirare fuori, si è reso conto che si era incastrato. Sfortunatamente, preso dal panico aveva tirato troppo forte e la cordicella si era rotta.
Tutti i tentativi di espellere il cucchiaio sono stati vani. I medici, dopo la radiografia, hanno sottoposto il ragazzo a un’endoscopia inserendo dalla bocca un minuscolo tubo di plastica con una telecamera collegata: con un’intervento di circa due ore in anestesia totale sono riusciti alla fine a estrarre il cucchiaio.
